Orthodontie, les Malocclusions de type Classe II. Cas cliniques
La classe II indique que les dents de l’arcade inférieure sont décalées en arrière de la valeur d’une cuspide complète, voire plus.Il exist…

La classe II indique que les dents de l’arcade inférieure sont décalées en arrière de la valeur d’une cuspide complète, voire plus.
Il existe 2 classifications :
- La classe II 1 : le secteur incisivo-canin est en version vestibulaire.
- La classe II 2 : le secteur incisivo-canin est en version palatine.

Comment corriger les dysmorphoses de type classe II ?
On utilisera une mécanique de distalisation des dents.
Les “Classe II” sont les malocclusions les plus fréquemment rencontrées en orthodontie. Les traitements ont pour objectif de corriger le décalage antéro-postérieur des arcades dentaires, plus ou moins important, entre les incisives supérieures et inférieures.
Pour que cela soit possible, deux conditions sont nécessaires :
- De l’espace disponible postérieurement pour reculer les dents.
- L’absence de surplomb vertical antérieur.
Traitement des classe II 1 :
Le traitement s’effectuera avec des appareils multi-attaches ou des gouttières invisibles pour corriger les dysmorphoses de type classe II.
Le choix du traitement, après étude du cas, pourra se faire :
- Avec extractions : pour obtenir l’espace désiré. Le gain d’espace permettra de distaler l’arcade supérieure si nécessaire.
- Sans extractions : il faudra utiliser des élastiques de classe II et une excellente coopération du patient pour obtenir le résultat.
Il est également possible d’avoir recours à une chirurgie orthognathique pour avancer la mandibule chez une personne n’ayant plus de croissance.
Traitement des classe II 2 :
Le traitement s’effectuera également par le port d’un appareil multi-attaches ou de gouttières transparentes.
Il faudra commencer par corriger la supraclusion incisive. Une fois la supraclusion levée, le traitement sera identique à celui de la classe II 1.
Exemples de cas traités Classe II division 1 :
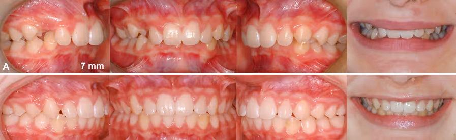
1/ Correction d’une sévère Classe II Division 1 avec 12 mm d’écart entre les dents antérieures (garçon de 12 ans).
- (A) Avant le traitement.
- (B) Les corrections ont été effectuées pendant une période de croissance, et aucune extraction n’a été nécessaire.

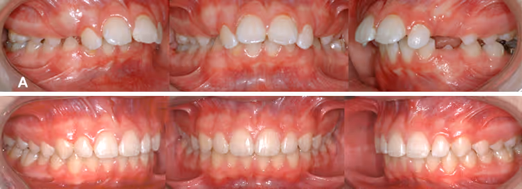
2/ Correction d’une sévère Classe II Division 1 avec 12 mm d’écart entre les dents antérieures (garçon de 12 ans).
- (A) Avant le traitement.
- (B) Les corrections ont été effectuées pendant une période de croissance, et aucune extraction n’a été nécessaire.

Exemples de cas traités Classe II division 2
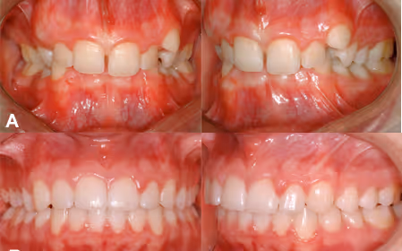
1/ Version linguale des incisives supérieures et surplomb vertical excessif chez un patient de 30 ans.
- (A) Avant le traitement.
- (B) Après les corrections : l’inclinaison des incisives et le surplomb vertical sont corrigés, ce qui améliore la fonction et diminue la probabilité d’usure dentaire à long terme.

2/ Position plus linguale des incisives supérieures et surplomb vertical excessif dans une classe II division 2.
- (A) Malocclusion de type classe II (div. 2) avec surplomb vertical excessif et manque d’espace important.
- (B) Après les corrections : la supraclusion est levée, les dents inférieures sont dégagées et visibles. Le mauvais engrenage fonctionnel est supprimé (cas traité sans extractions).

Fin :
Ces dysmorphoses de type Classe II 1 et Classe II 2 sont enseignées au stage 8 au CISCO. Pour plus d’informations, voir le site.

Les derniers articles
Découvrez nos articles sur les techniques orthodontiques, les innovations et les retours d'expérience de nos praticiens formés.

Comment bien se laver les dents avec un appareil dentaire ?
Il est complexe de pouvoir se brosser les dents efficacement alors que nous sommes appareillés. Pourtant lutter contre la plaque dentaire e…

Quels soins orthodontiques en cas de maxillaire étroit ?
Voici le déroulé d’un cas pratique entre patient, parent et praticien, pour vous aider à mieux comprendre ce cas de maxillaire étroit. Dans…

Retrouver une respiration nasale normale avec l’orthodontie et l’ORL
Pour permettre une mastication ou une déglutition normale, il est nécessaire d’avoir une bonne respiration nasale. Ainsi il est possible de…
