Les Extractions en Orthodontie : Décider en Conscience

Le Dilemme Moderne Extraire ou ne pas extraire ? Cette question traverse l’orthodontie depuis ses débuts. Contrairement aux idées reçues, l’extraction dentaire reste rare car la plupart des cas ne la nécessitent pas. Pourtant, dans certaines situations cliniques, elle demeure la solution la plus pertinente. Face à la pression sociétale favorisant les approches “sans extraction”, […]
La vie de nos étudiants – Retour en images de nos stages au Cisco !

Une belle énergie, de l’entraide et surtout beaucoup de bonne humeur : ces sessions ont une nouvelle fois montré combien l’apprentissage peut rimer avec convivialité. Bravo à tous les participants pour leur implication et leur enthousiasme ! STAGE 8 GROUPE 70 AVEC LE DR FIRAS STAGE 6 GROUPE 71 AVEC LE DR KHOLOKI STAGE 3 […]
Les Aligneurs en Orthodontie : Maîtriser la Technique de A à Z

Une Révolution Thérapeutique Confirmée L’orthodontie par aligneurs a transformé notre pratique quotidienne. Ce qui était un concept visionnaire de Kesling en 1945 est devenu, grâce aux technologies numériques et à l’impression 3D, une réalité thérapeutique incontournable pour traiter efficacement nos patients. Mais au-delà de l’engouement commercial, que nous dit réellement la science sur cette technique […]
La Téléradiographie de Profil en Orthodontie : Fondamentaux, Applications et Formation Avancée

La téléradiographie de profil – ou radiographie céphalométrique latérale – est un outil fondamental en orthodontie moderne. Standardisée, reproductible et faiblement irradiante, elle offre une analyse morphologique complète du visage, intégrant les structures squelettiques, dentaires et les tissus mous. Elle constitue une base scientifique incontournable pour le diagnostic, la planification thérapeutique et le suivi des […]
72ème session – Formation initiale en orthodontie

Une nouvelle promotion fait sa rentrée en orthodontie ! Du 27 au 30 mars 2025, nous avons eu le plaisir d’accueillir les étudiants de la 72e session de notre formation initiale en orthodontie. Ce nouveau départ marque l’entrée d’ apprenants motivés, venus poser les bases de leur parcours dans cette spécialité dentaire captivante. Encadrée par […]
Téléradiographie céphalométrique : un Outil essentiel en orthodontie

La téléradiographie céphalométrique est un examen d’imagerie médicale permettant une analyse détaillée du crâne, des mâchoires et des tissus mous du visage. Cet outil diagnostique est particulièrement utilisé en orthodontie pour l’évaluation des structures osseuses et dentaires, facilitant ainsi l’élaboration des plans de traitement. Objectifs et Utilité en Orthodontie L’intérêt principal de la téléradiographie réside […]
Orthodontie et Dents Incluses : Vers une Gestion Optimisée et Précise

Les dents incluses représentent un défi clinique fréquent en orthodontie. Une dent incluse est une dent qui n’a pas fait son éruption dans la cavité buccale au moment attendu, restant partiellement ou totalement enfouie dans l’os alvéolaire ou la gencive. Les dents les plus fréquemment concernées sont les troisièmes molaires (dents de sagesse), les canines […]
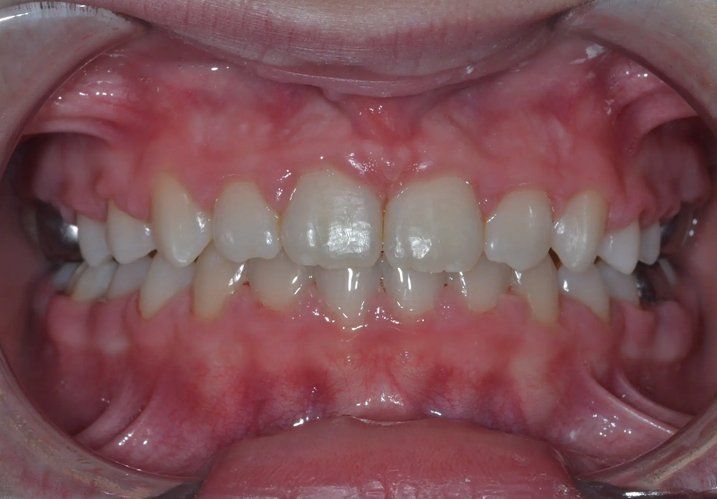
Orthodontie, les Malocclusions de type Classe II. Cas cliniques

La classe II indique que les dents de l’arcade inférieure sont décalées en arrière de la valeur d’une cuspide complète, voire plus. Il existe 2 classifications : La classe II 1 : le secteur incisivo-canin est en version vestibulaire. La classe II 2 : le secteur incisivo-canin est en version palatine. Comment corriger les dysmorphoses […]
La téléradiographie de face : un outil incontournable pour l’analyse orthodontique

La téléradiographie de face s’affirme aujourd’hui comme une méthode d’imagerie cruciale dans la pratique orthodontique. Elle s’utilise en complément de la téléradiographie de profil et de l’orthopantomogramme. En procurant une vue bidimensionnelle et standardisée des structures osseuses et dentaires du patient, elle permet aux praticiens de poser des diagnostics précis et de planifier les traitements. […]
Traitement ODF dans les cas d’agénésies

L’agénésie dentaire, caractérisée par l’absence congénitale d’une ou plusieurs dents, est une anomalie dentaire qui représente un défi clinique majeur. L’orthodontie dentofaciale (ODF) est essentielle pour traiter les agénésies dentaires. Comprendre l’Agénésie Dentaire Pouvant affecter n’importe quelle dent, l’agénésie est plus fréquemment observée au niveau des incisives latérales maxillaires, des deuxièmes prémolaires mandibulaires ainsi que […]