L'agénésie dentaire : quand les dents manquent à l'appel !
L'agénésie dentaire est une situation dentaire d’origine le plus souvent congénitale, relativement courante qui se caractérise par l'absenc…


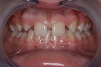
L'agénésie dentaire est une situation dentaire d’origine le plus souvent congénitale, relativement courante qui se caractérise par l'absence de certaines dents permanentes. Cela signifie que certaines dents n'apparaissent pas sur les arcades dentaires.
Cela provoque des problèmes d'alignement dentaire et par voie de conséquence, des problèmes d’occlusion.
La correction de ces problèmes nécessite souvent une intervention orthodontique.
Dans cet article, nous envisagerons les options de traitement orthodontiques possibles pour corriger cette situation.
Quand on constate la présence d’agénésies sur les arcades dentaires, les dents les plus couramment affectées sont les incisives latérales, les prémolaires, mais cela peut aussi concerner n’importe quelle dent.
L'agénésie dentaire peut être unilatérale, bilatérale ou se situer dans n’importe quelles zones de l’arcade dentaire supérieure ou inférieure
Les causes exactes de l'agénésie dentaire peuvent être multifactorielles. Les facteurs génétiques jouent un rôle important, car l'agénésie a tendance à se produire au sein de certaines familles. Des mutations génétiques spécifiques peuvent perturber le développement normal des dents, entraînant ainsi leurs absences.
L'agénésie dentaire a toujours des conséquences importantes sur l'alignement dentaire et la fonction occlusale.
Lorsqu'une dent est absente, cela crée un espace sur l'arcade dentaire et si rien n’est fait du point de vue orthodontique, cela peut entraîner le déplacement des autres dents adjacentes vers cet espace vacant.
Cela provoque une mauvaise occlusion, des problèmes de mastication et une esthétique dentaire altérée.
Le traitement orthodontique de l’agénésie dentaire va dépendre de plusieurs facteurs, tels que le nombre et l'emplacement des dents manquantes, ainsi que l’âge et le type de croissance faciale de l’enfant.
Les options de traitement peuvent être les suivantes :
1. Fermeture des espaces :
Deux cas de figure :
a. Si l'agénésie est unilatérale,
Il est possible de fermer l’espace en déplaçant les dents adjacentes vers l’espace vacant. On obtiendra une occlusion de classe II dentaire d’un côté et une occlusion de classe I dentaire de l’autre.
b. Si l’agénésie est bilatérale,
Il est possible de fermer les espaces, de manière symétrique en déplaçant les dents adjacentes vers les espaces vacants. On obtiendra dans ce cas, une occlusion de classe II dentaire bilatéralement.
2. Ouverture de l’espace
Deux cas de figure :
a. Si l’agénésie est unilatérale,
il est possible d’ouvrir l’espace nécessaire et de prévoir à la fin de la croissance de l’enfant, la mise en place d’un implant ou d’un bridge collé. Ultérieurement, dans tous les cas, une prothèse définitive sera envisagée en fonction du désir des patients.
b. Si l’agénésie est bilatérale,
il est possible d’ouvrir les espaces bilatéralement et prévoir 2 implants bilatéraux à la fin de la croissance de l’enfant. Il y aura toujours la mise en place d’une prothèse transitoire sous forme la plupart du temps de bridges collés bilatéralement.
L’important, quel que soit le type d’agénésie, sera de rétablir une esthétique dentaire acceptable et une occlusion correcte.
Vous souhaitez augmenter vos compétences sur les traitements d’orthodontie où les patients présentent des agénésies ?
Participez au cours du Dr FIRAS HAJ IBRAHIM !

Docteur en sciences odontologiques (1991)
Spécialiste qualifié en orthopédie dento-faciale (1995)
Doctorat de troisième cycle en Sciences Odontologiques
Certificat d’Etudes Cliniques Spéciales Mention Orthodontie (C.E.C.S.M.O)
Diplôme Universitaire d’Orthodontie (DUO)
CES Technologie des matériaux employés en art dentaire
CES d’Orthopédie dento-faciale
Ancien attaché au service d’ODF Nantes
Enseignant au Collège post-universitaire de Nantes (1990)
Enseignant au Cisco depuis 1991(France/Belgique/Grèce/Maroc)
Exercice exclusif à l’orthodontie depuis 1991
S'inscrire à la conférence

Les derniers articles
Découvrez nos articles sur les techniques orthodontiques, les innovations et les retours d'expérience de nos praticiens formés.

Comment bien se laver les dents avec un appareil dentaire ?
Il est complexe de pouvoir se brosser les dents efficacement alors que nous sommes appareillés. Pourtant lutter contre la plaque dentaire e…

Quels soins orthodontiques en cas de maxillaire étroit ?
Voici le déroulé d’un cas pratique entre patient, parent et praticien, pour vous aider à mieux comprendre ce cas de maxillaire étroit. Dans…

Retrouver une respiration nasale normale avec l’orthodontie et l’ORL
Pour permettre une mastication ou une déglutition normale, il est nécessaire d’avoir une bonne respiration nasale. Ainsi il est possible de…
