Traitement ODF dans les cas d'agénésies
L’agénésie dentaire, caractérisée par l’absence congénitale d’une ou plusieurs dents, est une anomalie dentaire qui représente un défi clin…

L’agénésie dentaire, caractérisée par l’absence congénitale d’une ou plusieurs dents, est une anomalie dentaire qui représente un défi clinique majeur. L'orthodontie dentofaciale (ODF) est essentielle pour traiter les agénésies dentaires.
Comprendre l'Agénésie Dentaire
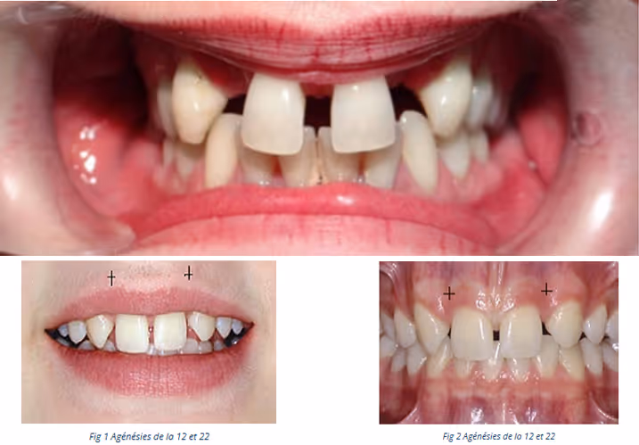
Pouvant affecter n’importe quelle dent, l’agénésie est plus fréquemment observée au niveau des incisives latérales maxillaires, des deuxièmes prémolaires mandibulaires ainsi que des troisièmes molaires.
Les causes de ces anomalies dentaires peuvent être génétiques, environnementales ou un mélange des deux.
Les conséquences cliniques liées aux agénésies dentaires varient en fonction de leur localisation. On observe la plupart du temps des problèmes esthétiques, et des problèmes fonctionnels.
Diagnostic et évaluation
Le diagnostic de l'agénésie dentaire repose sur des examens cliniques et radiographiques. Une évaluation complète comprend :
- Examen Clinique : Observation visuelle
- Radiographies : Panoramiques, céphalométriques, dento scanner. Cela permet une analyse détaillée.
- Historique Médical et Dentaire : Pour identifier les causes possibles et les antécédents familiaux.
Approches du Traitement ODF si il y a des agénésies Dentaires
2 types d'approche soit :
Le maintien de l'espace
Et plus tard ,il y aura soit :
- des bridges pour le remplacement des latérales
- ou la mise en place d'implants
Faire un traitement ODF est nécessaire pour maintenir la place et empêcher le déplacement des dents adjacentes.
Une fois les espaces ouverts il y aura une période transitoire pendant laquelle , pour des raisons esthétiques et fonctionnelles, des prothèses temporaires comme des ponts amovibles ou des prothèses partielles pourront être utilisées pour maintenir le résultat obtenu.
Si la solution de la mise en place des implants est retenue, ils sont envisagés quand la croissance osseuse est terminée.
Les implants dentaires offrent une solution permanente et esthétique pour les agénésies.
Pendant cette période transitoire, des prothèses dentaires temporaires peuvent être réalisées et utilisees durant le traitement orthodontique, ceci pour des raisons esthétiques et fonctionnelles.
Pour des raisons esthétiques et fonctionnelles, des prothèses temporaires comme des ponts amovibles ou des prothèses partielles peuvent être utilisées durant le traitement orthodontique.
Les implants dentaires offrent une solution permanente et esthétique. Ils sont souvent envisagés une fois la croissance osseuse terminée.
La fermeture de l'espace
Cela implique un traitement ODF pour déplacer orthodontiquement les dents adjacentes , et fermer l'espace vide.
Conclusion
Le traitement des agénésies dentaires nécessite une approche multidisciplinaire intégrant l'orthodontie, l'implantologie, la prothèse, la parodontologie.
Une évaluation précoce et une planification minutieuse sont essentielles pour un résultat optimal.
Aller plus loin
Pour enrichir vos connaissances sur les options de traitement en cas d’agénésies dentaires, CISCO organise un webinaire animé par le Dr FIRAS HAJ IBRAHIM, qui se tiendra du 13 au 14 décembre 2025. Au cours de cette vidéoconférence, seront abordés les critères essentiels à considérer pour le traitement ainsi que les diverses solutions thérapeutiques disponibles.

Les derniers articles
Découvrez nos articles sur les techniques orthodontiques, les innovations et les retours d'expérience de nos praticiens formés.

Comment bien se laver les dents avec un appareil dentaire ?
Il est complexe de pouvoir se brosser les dents efficacement alors que nous sommes appareillés. Pourtant lutter contre la plaque dentaire e…

Quels soins orthodontiques en cas de maxillaire étroit ?
Voici le déroulé d’un cas pratique entre patient, parent et praticien, pour vous aider à mieux comprendre ce cas de maxillaire étroit. Dans…

Retrouver une respiration nasale normale avec l’orthodontie et l’ORL
Pour permettre une mastication ou une déglutition normale, il est nécessaire d’avoir une bonne respiration nasale. Ainsi il est possible de…
